ePrivacy and GPDR Cookie Consent by Cookie Consent

MUC6 (Mucin 6 / Gastric Mucin) (MUC6/1553R), CF488A conjugate, 0.1mg/mL

Expédié par Aurélien_test

General Information
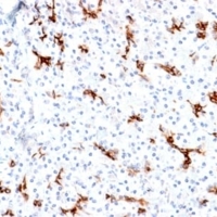
Description The MUC6 gastric mucin is a secreted glycoprotein that plays an essential role in epithelial cyto-protection from acid, proteases, pathogenic microorganisms, and mechanical trauma in the gastrointestinal tract. Mucin 6 expression is highest in the stomach and gall bladder, with lower expression in the terminal ileum and right colon. In gastric cancer, Mucin 6 has an altered expression. In normal stomach, Mucin 6 is associated with Lewis type 2; Mucin 6 is also expressed in gastric metaplasia, duodenum and pancreas. Mucin 6 is a secretory mucin, located in the deeper mucosal folds of human gall bladder, and its expression is altered with increasing degrees of inflammation. Primary antibodies are available purified, or with a selection of fluorescent CF® dyes and other labels. CF® dyes offer exceptional brightness and photostability. See the CF® Dye Selection Guide for more information. Note: Conjugates of blue fluorescent dyes like CF®405S and CF®405M are not recommended for detecting low abundance targets, because blue dyes have lower fluorescence and can give higher non-specific background than other dye colors.
Stock status: Because Biotium offers a large number of antibody and conjugation options, primary antibody conjugates may be made to order. Typical lead times are up to one week for CF® dye and biotin conjugates, and up to 2-3 weeks for fluorescent protein and enzyme conjugates. Please email order@biotium.com to inquire about stock status and lead times before placing your order.
  Catalog number key for antibody number 1553, Anti-MUC6 (MUC6/1553R) [table id=253 /]

Informations produit

Brand
Marque Atlas Antibodies

Voir nos promos

superpromo

Vous n'avez pas renseigné de quantité

superpromo

Vous n'avez pas renseigné de quantité

superpromo

Vous n'avez pas renseigné de quantité

commentaires clients

Commentaire
UPL (16/01/2025)
Commentaire
Uppler OZ49 - test OZ49 (15/01/2025)
Commentaire 1